Rated 4.9/5 on Google
St Michael's Orthodontics is an award-winning orthodontic practice, we offer a full range of teeth straightening solutions including fixed metal braces, ceramic braces, and Invisalign® clear aligners - all with flexible payment plans and 0% finance options.
Whether you're searching for braces for adults, children's orthodontics, or discreet teeth straightening options, our specialist orthodontists provide personalised treatment plans tailored to your smile.
Traditional braces have metal brackets that are attached to the front of your teeth and connected by metal wire. It’s the most common treatment – and a popular one too.
These braces use tooth-coloured or clear ceramic brackets, so they’re less visible and more aesthetically pleasing. They work like metal braces and are suitable for most cases.
The latest in clear aligner technology, Invisalign® is virtually invisible. They can be removed to eat, drink and brush your teeth too.
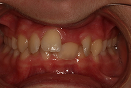
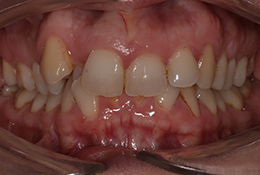
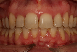
From fixed braces to clear aligners, see our real before and after results at St Michael's Orthodontics
This patient had Invisalign® with elastics for 18 months. She had very crowded top teeth but she didn't need to have any teeth removed.
This patient had two upper teeth removed and fixed appliances for just over 2 years.
Specialist orthodontist | BDS, FDS (RCS Edin), MDentSci, MOrth (RCS, Edin) | GDC no. 63428
Specialist orthodontist | MSc University of Leeds | GDC no. 264839
Teeth straightening works by using either braces or aligners to carefully and gradually move your teeth into a new, straighter position. This offers numerous benefits, both functional and aesthetic, including:
Your orthodontist will start with an initial consultation – x-rays, photos and impressions or scans of your teeth will be taken (at your consultation or another visit). You’ll then receive a tailored treatment plan explaining your options and costs.
You'll usually need to visit your dentist approximately every six to eight weeks for adjustments to be made. The duration of treatment depends on the complexity of the case and type of treatment you choose to straighten your teeth.
Your orthodontist will explain thoroughly how best to care for your aligners or braces. This includes how to maintain good dental health by regularly brushing your teeth (and appliances if you have braces) and avoiding certain food and drinks.
Please leave your contact details, and a member of our friendly team will get right back to you to book an initial consultation.
Copyright © 2026 Portman Healthcare. All rights reserved.
Portman Healthcare Limited is registered in England and Wales. Company number: 06740579. Registered office: Rosehill, New Barn Lane, Cheltenham, Glos, GL52 3LZ.
† Portman Healthcare Limited is an appointed representative of Product Partnerships Limited which is authorised and regulated by the Financial Conduct Authority. Product Partnerships Limited’s FCA registration number is 626349 and its address is Second Floor, Atlas House, 31 King Street, Leeds LS1 2HL. Product Partnerships Limited’s permitted business is to act as a Principal for a network of Appointed Representatives who arrange regulated credit facilities for customers who are purchasing goods from them.
Portman Healthcare Limited (FRN: 1031516) acts as a credit broker not a lender. We can only introduce you to Secure Trust Bank T/A V12 Retail Finance Limited (FRN: 679653) who may be able to offer you finance facilities for your purchase. We will only introduce you to this lender. We do not receive any commission for introducing customers to a finance provider. Credit is provided subject to affordability, age, and status. Minimum spend applies. Not all products offered by Secure Trust Bank PLC are regulated by the Financial Conduct Authority.
Please leave your contact details, and a member of our friendly team will get right back to you to book an initial consultation.






