2 Hylton Park Road, Sunderland, SR5 3HD
At The Smile Spa, we offer a comprehensive range of dental care, all under one roof, tailored to meet your individual needs. Our philosophy is a constant driving force in everything we do, and we are proud to have created a happy practice with a happy team and, most importantly, happy patients.
"I am delighted with the result. The reaction from my friends and family has been great — invariably telling me that I look well rather than commenting directly on my new teeth — testament to Ken’s skills in making my teeth look ‘real’ . One challenge I didn’t expect was having to learn to smile again — I had spent so many years being embarrassed to smile other than with my mouth shut — but what a fun challenge!!"
Whether you're looking for a routine check-up or full smile transformation, we can help. Our dentists create bespoke smiles for every patient with amazing results.
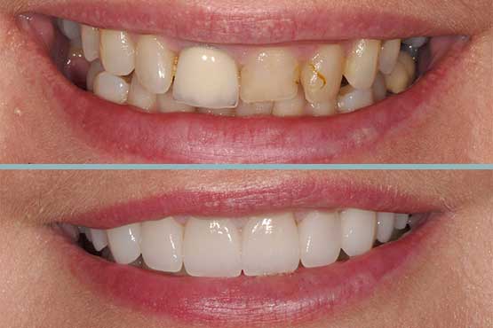
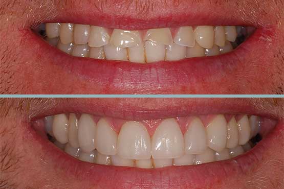
An option for chipped or cracked teeth, composite bonding uses an enamel-like material on the tooth surface to strengthen and improve the appearance of your teeth.
One of the easiest ways to enhance your looks is through teeth whitening treatment. Our high-end bleaching products remove stains and discolouration safely and effectively.
An increasingly popular procedure, veneers are ultra-thin, custom-made porcelain laminates that affix directly to the front of your natural teeth.
A smile makeover can give you a brighter, straighter, more symmetrical, with the goal of a functional, aesthetically pleasing smile.
With our reputation in cosmetic dentistry, we offer incomparable dental care delivered with compassion and attention to detail. We have two accredited dentists in-house (and a third on the way!) ready to meet your dental needs.
The atmosphere here at Riveredge is all part of your experience. Upon arrival, we want you to walk into the practice and feel at ease, comfort is always key for patients; we know it is much more pleasant to have dental treatment carried out in a calm and relaxing setting.
To book your consultation complete the form and a member of our friendly team will be in touch as soon as possible to arrange your consultation.
With our reputation in cosmetic dentistry, we offer incomparable dental care delivered with compassion and attention to detail. We have two accredited dentists in-house (and a third on the way!) ready to meet your dental needs.
The atmosphere here at Riveredge is all part of your experience. Upon arrival, we want you to walk into the practice and feel at ease, comfort is always key for patients; we know it is much more pleasant to have dental treatment carried out in a calm and relaxing setting.
To book your consultation complete the form and a member of our friendly team will be in touch as soon as possible to arrange your consultation.
Our dentists are highly skilled professionals in the field and can design a smile made just for you that looks beautiful and natural. Get in touch with us today to book a consultation to learn how we can help you smile confidently.
Our dentists are highly skilled professionals in the field and can design a smile made just for you that looks beautiful and natural. Get in touch with us today to book a consultation to learn how we can help you smile confidently.
Here at Riveredge, we understand that choosing a dental practice is a big decision. You must be sure you can completely trust your dental team to deliver first-class results every time. Take a look at our profiles to find out a bit more about us and our accredited qualifications.
Here at Riveredge, we understand that choosing a dental practice is a big decision. You must be sure you can completely trust your dental team to deliver first-class results every time. Take a look at our profiles to find out a bit more about us and our accredited qualifications.
The award-winning dentists at Riveredge have been transforming smiles for decades. Our dentists are leaders in the field, with a long and impressive list of accomplishments and credentials.
If you want to change any aspects of your smile, we are the team to see. We are happy to design a smile made just for you. Get in touch to book a consultation.
If you leave your contact details, we will get right back to you to book an initial consultation.
If you leave your contact details, we will get right back to you to book an initial consultation.
Copyright © 2025 Portman Healthcare.
Portman Healthcare Limited is registered in England and Wales. Company number: 06740579. Registered office: Rosehill, New Barn Lane, Cheltenham, Glos, GL52 3LZ.
Portman Healthcare Limited is an appointed representative of Product Partnerships Limited which is authorised and regulated by the Financial Conduct Authority. Product Partnerships Limited’s FCA registration number is 626349 and its address is Second Floor, Atlas House, 31 King Street, Leeds LS1 2HL. Product Partnerships Limited’s permitted business is to act as a Principal for a network of Appointed Representatives who arrange regulated credit facilities for customers who are purchasing goods from them.
Portman Healthcare Limited (FRN: 1031516) acts as a credit broker not a lender. We can only introduce you to Secure Trust Bank T/A V12 Retail Finance Limited (FRN: 679653) who may be able to offer you finance facilities for your purchase. We will only introduce you to this lender. We do not receive any commission for introducing customers to a finance provider. Credit is provided subject to affordability, age, and status. Minimum spend applies. Not all products offered by Secure Trust Bank PLC are regulated by the Financial Conduct Authority.
Copyright © 2025 Portman Healthcare.
Portman Healthcare Limited is registered in England and Wales. Company number: 06740579. Registered office: Rosehill, New Barn Lane, Cheltenham, Glos, GL52 3LZ.
Portman Healthcare Limited is an appointed representative of Product Partnerships Limited which is authorised and regulated by the Financial Conduct Authority. Product Partnerships Limited’s FCA registration number is 626349 and its address is Second Floor, Atlas House, 31 King Street, Leeds LS1 2HL. Product Partnerships Limited’s permitted business is to act as a Principal for a network of Appointed Representatives who arrange regulated credit facilities for customers who are purchasing goods from them.
Portman Healthcare Limited (FRN: 1031516) acts as a credit broker not a lender. We can only introduce you to Secure Trust Bank T/A V12 Retail Finance Limited (FRN: 679653) who may be able to offer you finance facilities for your purchase. We will only introduce you to this lender. We do not receive any commission for introducing customers to a finance provider. Credit is provided subject to affordability, age, and status. Minimum spend applies. Not all products offered by Secure Trust Bank PLC are regulated by the Financial Conduct Authority.
Ken opened Riveredge in 2000, aiming to create a Centre of Excellence in the North-East focusing on cosmetic dentistry and complex reconstruction cases. The most important first stage was to recruit the right people, and for the last 24 years, Ken’s vision for Riveredge has been the team’s motivation and the driving force behind our continuing success. His knowledge and experience are second to none, and his infectious enthusiasm keeps Riveredge at the top. It’s a herculean task, but well worth the grey hairs!
Dr Ken Harris graduated with a BDS from the University of Newcastle upon Tyne in 1982. He passed MFGDP(UK) in 1996 and achieved Fellowship of Royal College of General Dental Practice FFGDP(UK) in 2017, followed by Fellowship of the newly established College of General Dentistry (FCGDent) in 2021. He also holds an MSc in Restorative & Aesthetic Dentistry (with distinction) from the University of Manchester (2014).
In 2004, he was a founding member of the British Academy of Cosmetic Dentistry (BACD) and was one of the first groups to pass the arduous BACD Accreditation Examination (2006). As one of only three current BACD Accredited Fellows (2010), he now acts as a tutor and examiner for the BACD Accreditation process. Ken was the first UK graduate of the Kois Center in Seattle, USA (2008), where he now acts as a Mentor teaching the Kois approach worldwide. During his long career, he frequently studied at NYU College of Dentistry in New York City, mainly from 2001-2003. Ken eventually became a clinical instructor there, teaching the subtleties of porcelain veneers long before it became mainstream here in the UK. Ken also spent time with the world-renowned Dr Newton Fahl in Brazil back in 2005, where he perfected his skills using composite bonding. Despite being a full-time clinical dentist and holding the national record for winning at the UK Aesthetic Dentistry Awards (check out Ken’s National Awards), he still manages to fulfil a busy teaching schedule nationally and internationally.
Richard is our Geordie dentist with over 30 years of experience in Dentistry, having graduated with a BDS from Newcastle University in 1992. Richard is one of only 2 dentists in the UK (and the only dentist in the UK outside of London) to be accredited with the American Academy of Cosmetic Dentistry. This is a world-renowned qualification held by very few dentists indicating his work has been scrutinised by the world’s most influential dental experts. More locally he is President of the North East Private Dentists.
He travels the world extensively to courses and has been a member of the American Academy of Cosmetic Dentistry for 14 years and was a member of the European Society of Cosmetic dentistry for years before that. He is also one of only 19 dentists in the U.K. to be accredited with the British Academy of Cosmetic Dentistry.
He has also been a winner at the Aesthetic dentistry awards.
Richard lectures internationally both in Europe and North America and loves sharing the expertise he has learned over the years with fellow clinicians striving for perfection.
His credentials are undoubtably what our patients deserve to provide the smile they desire.
In his spare time Richard keeps fit Road race cycling (when not track cycling to and from work). He is also an experienced advanced scuba diver and in the winter is the oldest Snowboarder on the mountain. Oh yes and he can play the trumpet terribly. He is married to Claire, has a son finishing a Masters degree at University and his daughter is about to head off to University this year.
Harry is the most recent dentist to join Riveredge. Having previously spent months shadowing Ken and Richard, we felt he was more than up to the task. Harry graduated from Newcastle University in 2021 with Honours and merits in clinical and academic dentistry.
Don’t let the young looks deceive you; since graduating, Harry has spent the early years of his career working in private practice, providing the highest quality of care, winning awards from both the British Association of Private Dentistry and the British Academy of Cosmetic Dentistry. Like Ken, Harry has registered to attend the Kois Centre in Seattle next year and (again, like Ken), he is planning to undertake a Master’s degree in Restorative Dentistry. Perfect training for the “Sorcerer’s Apprentice”!









