Whether you’re looking for traditional fixed braces or removable clear aligners, we offer a variety of teeth straightening options for children and adults – to meet all your needs and suit your pocket. We offer the following treatments:
Teeth straightening works by using either braces or aligners to carefully and gradually move your teeth into a new, straighter position. This offers numerous benefits, both functional and aesthetic, including:
Traditional braces have metal brackets that are attached to the front of your teeth and connected by metal wire. It’s the most common treatment – and a popular one too.
These braces use tooth-coloured or clear ceramic brackets, so they’re less visible and more aesthetically pleasing. They work like metal braces and are suitable for most cases.
The latest in clear aligner technology, they are virtually invisible – so hardly anyone will notice you’re wearing them. They can be removed to eat, drink and brush your teeth too.
Orthodontics isn’t just about straightening a patient’s teeth, it’s about their renewed confidence once their smile is transformed. See the difference for yourself in our before and after galley.
A teenage boy with a traumatic ‘deep’ bite and receded lower jaw, treated using a combination of a ‘Twin Block’ (growth modification) & fixed braces.
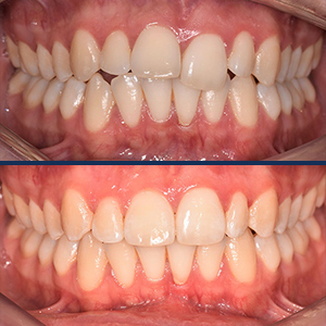
The results in a young adult after 4 months of upper aligner treatment.
This is how we typically transform smiles. The width of the top row of teeth & smile are both improved as part of our holistic specialist treatments.
While Invisalign® has changed very little in substance since 1998, there's been an explosion of orthodontist-led innovations in the USA and elsewhere since 2019. We're thrilled to offer our patients these latest clinical advances through our pioneering align approach.
By digitally scanning your teeth & taking clinical measurements at both the outset and at regular intervals during your treatment we can capture much more accurate 3D information on your teeth and their actual response to aligner movements. This is fed into our world-class specialised aligner software.
Orthodontics at the Priestgate Clinic is provided by specialists (not general dentists), supported by an orthodontic therapist & trained orthodontic nurses. We provide clinical care tailored to each individual's circumstances & smile aspirations. We do this using the latest techniques & research evidence.
To us, professionalism involves guiding each patient through their choices and aiming for the best possible result.
To ensure we get you through to the right member of our team, fill in your details below. They'll give you a call right back to discuss your dental treatment in Peterborough.
Richard is regarded as a clinical innovator in the orthodontic speciality with a passion for achieving excellent clinical results, even in the most complex cases. In 2015, he was described in the British Dental Journal as being "in the vanguard of this (orthodontic) revolution". Richard has published over 40 technique and research papers in international peer-reviewed orthodontic and surgical journals.
Your orthodontist will start with an initial consultation – and x-rays, photos and impressions of your teeth will be taken (at your consultation or another visit). You’ll then receive a tailored treatment plan explaining your options and costs.
You'll usually need to visit your dentist every six to eight weeks for adjustments to be made. The duration of treatment depends on the complexity of the case and type of treatment you choose to straighten your teeth.
Your orthodontist will explain thoroughly how best to care for your aligners or braces. This includes how to maintain good dental health by regularly brushing your teeth (and appliances if you have braces) and avoiding certain food and drink.
If you leave your contact details, we will get right back to you to book an initial consultation.
Copyright © 2025 Portman Healthcare.
Portman Healthcare Limited is registered in England and Wales. Company number: 06740579. Registered office: Rosehill, New Barn Lane, Cheltenham, Glos, GL52 3LZ.
Portman Healthcare Limited is an appointed representative of Product Partnerships Limited which is authorised and regulated by the Financial Conduct Authority. Product Partnerships Limited’s FCA registration number is 626349 and its address is Second Floor, Atlas House, 31 King Street, Leeds LS1 2HL. Product Partnerships Limited’s permitted business is to act as a Principal for a network of Appointed Representatives who arrange regulated credit facilities for customers who are purchasing goods from them.
Portman Healthcare Limited (FRN: 1031516) acts as a credit broker not a lender. We can only introduce you to Secure Trust Bank T/A V12 Retail Finance Limited (FRN: 679653) who may be able to offer you finance facilities for your purchase. We will only introduce you to this lender. We do not receive any commission for introducing customers to a finance provider. Credit is provided subject to affordability, age, and status. Minimum spend applies. Not all products offered by Secure Trust Bank PLC are regulated by the Financial Conduct Authority.
Michael gained experience in managing medical emergencies, extra and intra-oral suturing, surgical extractions, jaw surgery and also assisted in the management of OMFS oncology patients. Michael was awarded a Membership in Dental Surgery at the Royal College of Surgeons of Edinburgh in 2012.
Following this in 2013, Michael worked in paediatric dentistry where he developed skills in the management of very dental-phobic children and carried out routine dental care and extractions under local and general anaesthetic.
In 2014, Michael began a 3 year speciality training programme in Orthodontics in Kings College London, treating patients in both Guys Hospital, London and Queen Mary’s Hospital, Sidcup. In 2017, Michael graduated with a Master’s of Science and was awarded Membership in Orthodontics from the Royal College of Surgeons of Edinburgh the very same year.
Cara underwent her orthodontic therapy training at Bristol dental school, graduating with a diploma in orthodontic therapy from the Royal College of Surgeons of Edinburgh. Cara also achieved additional Dental Radiography and Oral Health Education qualifications. Cara currently works at the Brighton branch of Portman Smile Clinic.
In her free time, Cara also enjoys wholesome activities such as playing her ukulele, playing board games with friends and travelling in her campervan.
To ensure we get you through to the right member of our team, fill in your details below. They'll give you a call right back to discuss your dental treatment in Peterborough.










