Regular dental health check-ups and hygiene appointments limit the potential need for future treatment (saving on cost) and will ensure your dental health is in tip-top shape.
Aesthetic dentistry is a range of treatments designed to help you achieve your dream smile. Whether that’s teeth whitening, dental veneers, composite bonding, or a whole smile restoration – we can help.
An infection inside your tooth that affects nerve tissue can be painful and uncomfortable. This treatment can save a tooth that might otherwise have to be removed completely.
Whether you want to replace missing or failing teeth, dental implants can be life-changing. They can help improve your ability to speak and chew, and look and feel almost like natural teeth.
Looking to straighten your smile without the fuss of traditional braces? Invisalign® is the clear solution. Using a series of clear aligners, you can achieve the smile of your dreams.
Our modern and contemporary dental surgery in Derby is a centre of dental excellence and provides state of the art cosmetic dentistry, specialist dentistry and dental implant services to patients from Derby, Nottingham, Leicester, Lincoln Stafford and the East Midlands, in the heart of the UK.
The availability of cutting edge cosmetic dentistry at affordable prices alongside specialist dentistry and dental implant services allows our dental patients to benefit from the skills of experienced and highly trained cosmetic dentists and specialists without the need to travel to the capital or pay London prices.
Fill in your details and a member of our friendly team will be in touch with you shortly.
Attention to aesthetic detail, extensive training and experience, and a professional yet very personalised service is reflected in the final results seen in the smiles of our patients. Whether you are looking for a routine check-up, a whiter smile, or more transformative treatments our highly-skilled dental team in Derby are here to help.
Our team combines old-school values of compassionate care and individualised attention to detail to provide the very best dental treatment possible.
A dedicated patient consultation suite allows you to come in for a coffee and discuss any concerns you may have about your general or cosmetic dental treatment.
Our team of highly trained specialist, dentists, nurses, and receptionists aim to deliver the highest standards of dental care and personalised customer service to our patients.
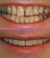
Transforming a smile isn’t just about the work we do to a patient's teeth, it’s about their renewed confidence once their smile is transformed. See the difference for yourself in our before and after galley.
Fill in your details and our friendly team will contact you to arrange your consultation. We’ll walk you through the process, answer any questions, and help you take the first step toward your new smile!
Portman Healthcare Limited is registered in England and Wales. Company number: 06740579. Registered office: Rosehill, New Barn Lane, Cheltenham, Glos, GL52 3LZ.
Portman Healthcare Limited is an appointed representative of Product Partnerships Limited which is authorised and regulated by the Financial Conduct Authority. Product Partnerships Limited’s FCA registration number is 626349 and its address is Second Floor, Atlas House, 31 King Street, Leeds LS1 2HL. Product Partnerships Limited’s permitted business is to act as a Principal for a network of Appointed Representatives who arrange regulated credit facilities for customers who are purchasing goods from them.
Portman Healthcare Limited (FRN: 1031516) acts as a credit broker not a lender. We can only introduce you to Secure Trust Bank T/A V12 Retail Finance Limited (FRN: 679653) who may be able to offer you finance facilities for your purchase. We will only introduce you to this lender. We do not receive any commission for introducing customers to a finance provider. Credit is provided subject to affordability, age, and status. Minimum spend applies. Not all products offered by Secure Trust Bank PLC are regulated by the Financial Conduct Authority.
Leave your details and a member of our friendly team will get in touch to discuss your free consultation.
I graduated from Valencia, Spain in 2020. I have been working in a general dental and emergency clinic before commencing here in Bottesford.
I enjoy all aspects of dentistry and have a keen eye for detail. I find treating nervous patients particularly rewarding and always put my patient’s needs first. My aim is to provide individual, tailored treatment to each and every one of my patients in a relaxed and approachable manner. I love building rapport with my patients and ensure they are involved in their treatment every step of the way, in addition to equipping them with the skills they need to achieve their treatment goals and maintain a healthy mouth.
I am committed to developing my skills further and am currently training in short-term orthodontics and have started a postgraduate diploma in restorative aesthetic dentistry.
In my spare time, I enjoy keeping fit in the boxing gym, going out on hikes and like to play cricket. I also love to travel with the view to explore new cultures and experiences abroad.
I am a dentist at Cosmetic White Smiles with a passion for enhancing smiles and promoting oral health. I obtained my Bachelor of Dental Surgery (BDS) from the University of Manchester in 2016. My journey in dentistry has been marked by a commitment to continuous learning and providing compassionate care to my patients.
Following my BDS, I pursued a postgraduate diploma in Restorative and Aesthetic Dentistry (PGDIP), further honing my skills in creating natural-looking smiles and restoring dental function. I am starting on the Simplifi Composite Bonding course to expand my expertise in cosmetic dentistry.
In 2018, I joined Cosmetic White Smiles, where I continued my cosmetic and restorative dentistry. My approach to patient care emphasises empathy and clear communication, ensuring that every patient feels comfortable and valued. I am certified in Invisalign and Spark Clear Aligners, enabling me to provide effective orthodontic treatments tailored to each patient’s needs.
Outside of dentistry, I find joy in golfing, exploring on holiday and experimenting with culinary creations in the kitchen.
Dr Jai Ghelani qualified as a dentist in 2015 from the University of Manchester. Since then, he has been a dedicated member of the practice, building strong relationships with his patients. He offers a comprehensive range of treatments from routine fillings and crowns to advanced cosmetic procedures including Invisalign, composite bonding and veneers. Over the years, he has transformed hundreds of smiles and continues to expand his knowledge to provide the highest standard of care.
Outside of work, Dr Ghelani loves to spend time with his family and is an avid sports fan.
I have over 10 years’ experience in clear aligners and advanced training in adult orthodontics. I am passionate about helping patients achieve confident smiles with discreet treatments.
I qualified as a dentist in 2017 and went on to do a further course in cosmetic dentistry and clear aligners. Since then, I have completed numerous cases which I really enjoy especially seeing how much change it brings to a patient's smile in such a short space of time.
Dr. Robert Bolt is Clinical Lecturer and registered Specialist in Oral Surgery. He is both medically and dentally qualified and is Director of the University of Sheffield “One-to-One" dental implantology course. Dr. Bolt is also lead for the University of Sheffield’s undergraduate dental implantology curriculum, and delivers a number of lectures and practical classes to both undergraduate and postgraduate students throughout the year.
In addition to clinical implantology, Dr. Bolt has several research interests including pre- & peri-operative anxiety management, HPV-related oropharyngeal carcinoma, in-vitro 3D models of the implant-bone-mucosa interface, and analysis of the tumour microenvironment. He undertook a PhD investigating the role of the tumour microenvironment in HPV-related oropharyngeal carcinoma, from which he received the BOSDR Senior Colgate Prize in 2015. His current grant income includes the £1.65 million NIHR HTA “MAGIC” trial to assess the role of melatonin in managing preoperatively-anxious children, and a Royal College of Surgeons FDS Grant to assess the use of extracellular vesicles in the early detection of oropharyngeal carcinoma.
Dr. Bolt is very happy to offer patient consultations and to discuss in more detail if you are considering dental implants as an option for replacing missing teeth, or dental implants for supporting an unstable denture.



















